Accessible Version
RT Dental
Dentistry in Nutley, NJ
Request an Appointment
Like us on Facebook
Visit us on Yelp
Leave a Google Review
(973) 667-2500
General and Aesthetic Dentistry
192 Chestnut St. Nutley, NJ 07110
Menu
Call
Book Now
Map
Home
About
Our Team
Technology
Office Pictures
Services
View All
Cosmetic Dentistry
Crowns and Bridges
Dental Implants
Dentures and Partials
Extractions
Spark aligners
Porcelain Veneers
Root Canal Therapy
Sleep Apnea
Tooth-Colored Fillings
Smile Gallery
Testimonials
Patient Info
View Patient Info
Your First Visit
Forms
Financial
FAQs
Pay Online
Contact
RT Dental
>
Smile Gallery
>
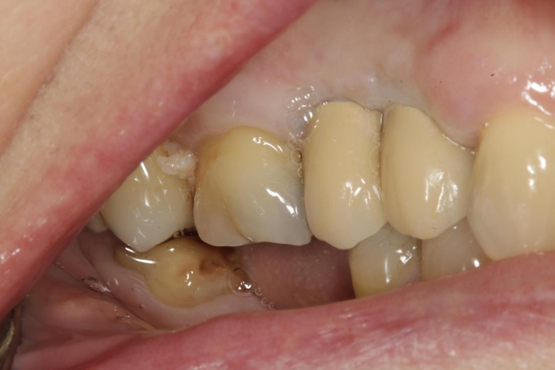
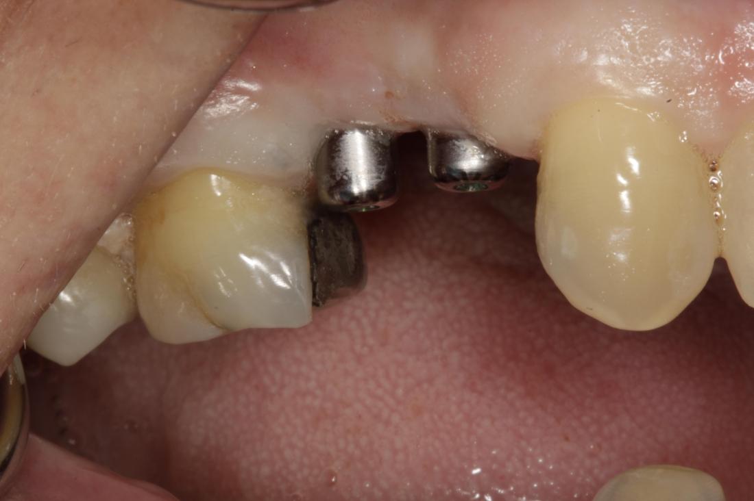
Implants and Crowns
Implants and Crowns
Return to Smile Gallery
Next
Related Services:
Dental Implants
Crowns and Bridges
Cosmetic Dentistry
Drag the arrows back and forth to view complete Before and After views
Ready to book an appointment?
Schedule Now
If you have difficulty using our website, please
email us
or call us at
(973) 667-2500
View the
ADA Accessibility Statement
Turn on ADA Views
Privacy Policy
OK!
×
×
Contact Us Today
Give Us A Call
RT Dental - Richard Tom D.M.D. -
(973) 667-2500
Send Us an Email
Request an Appointment
Contact Us
Ready to Schedule an Appointment?
Book Online
Have Questions? Contact Us:
Required Field
Your Name:
Phone:
Email:
Are you a new patient?:
Are you a?
New Patient
Current Patient
How would you like us to contact you?
Please choose
Email
Call
How did you hear about us?
Please choose
I'm an existing patient
Google/Bing
Mailer
Word of mouth
Social media
Other
Who Referred You?:
Appointment Preferences
Monday
Tuesday
Wednesday
Thursday
Saturday
Your Message:
This site is protected by reCAPTCHA and the Google
Privacy Policy
and
Terms of Service
apply.
Sending...
×
This Patient's Experience
Loading Testimonial...
Loading Case...