Accessible Version
RT Dental

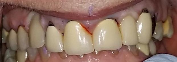
Full Upper Bridge Replacement

Patient's daughter was having a wedding, so the patient wished to improve the smile by replacing a very old, discolored bridge. Replaced the old upper existing bridge from molar to molar with a brand new, brighter smile from ear to ear!

Dentist Dentists Nutley NJ Dentist Dentists Nutley NJ
Getting an appointment is fast and easy!
If you have difficulty using our website, please email us or call us at (973) 667-2500
View the ADA Accessibility Statement
Privacy Policy